
Partner pro Vaši digitálnístomatologickou praxi
S Vaším IO skenerem si rozumíme:

Méně administrativy, více času pro pacienty.Představujeme EZLab – aplikaci, která Vám usnadní život.
Prozkoumat výhody →
S Vaším IO skenerem si rozumíme:

Můžeme Vám poradit? Můžeme Vám s něčím poradit? Dobrý den, můžeme Vám s něčím poradit? Dobrý den, těší nás, že jste navštívil/a naše stránky. Můžeme Vám s něčím poradit? Dobrý den, těší nás, že už jste několikrát navštívil/a naše stránky. Můžeme Vám s něčím poradit?
14 let zkušeností v digitální stomatologii
Přes 81 000 zpracovaných skenů
Dodací lhůty
Od předání otisků/skenu, až po doručení hotové práce do Vaší ordinace.
7 pracovních dní
3 pracovních dní
2 pracovní dny

Ondřej Kudera, MSc
výkonný ředitel
Jednotné dodací lhůty i ceny.
Zpracujeme otisky i data ze skeneru
Poslat nám můžete jak digitální, tak klasické — zjistěte, čím je náš výrobní proces unikátní

on-line
Krátké dodací lhůty
Precizní zpracování
Přijímáme data v .stl/.obj
Okamžitá kontrola naskenovaných dat

s dopravou
Doprava zcela ZDARMA
Vyzvedneme a doručíme kamkoli v ČR/SR
Snadné objednání
Precizní fixní náhrady
Vyzkoušejte plně digitální CAD/CAM výrobu
Korunky a můstky
Implantáty
Ostatní
Indikace materiálů
Kvalita? Vždy vysoká!
Inovativní výroba pomocí 3D tisku, frézování a laserového sintrování Vám zaručuje vysokou a stálou ůroveň jakosti.
Více o výrobě
Špičkové materiály
Správná indikace materiálu je stejně důležitá jako jeho kvalita. Spolehnětě se na naše dlouholeté zkušenosti, vždy Vám poradíme jaký materiál je pro Váš konkrétní případ nejvhodnější.

Zkušenost a pečlivost
Za každým zubem chceme vidět spokojeného pacienta, dbáme proto na každý detail.




Poradíme Vám, jak můžete jednoduše zdokonalit digitální otiskování.
Kvalitní digitální otisk je začátek. My jej proměníme v maximálně přesnou, funkční a estetickou práci.

Poradíme Vám jak na to!
Specializujeme se na fixní protetiku. Práce na implantátech jsou pro nás rutina. Hravě si poradíme i se složitějšími řešeními jako jsou Brånemark či hybridní můstky. Podívejte se do galerie na některé naše práce.

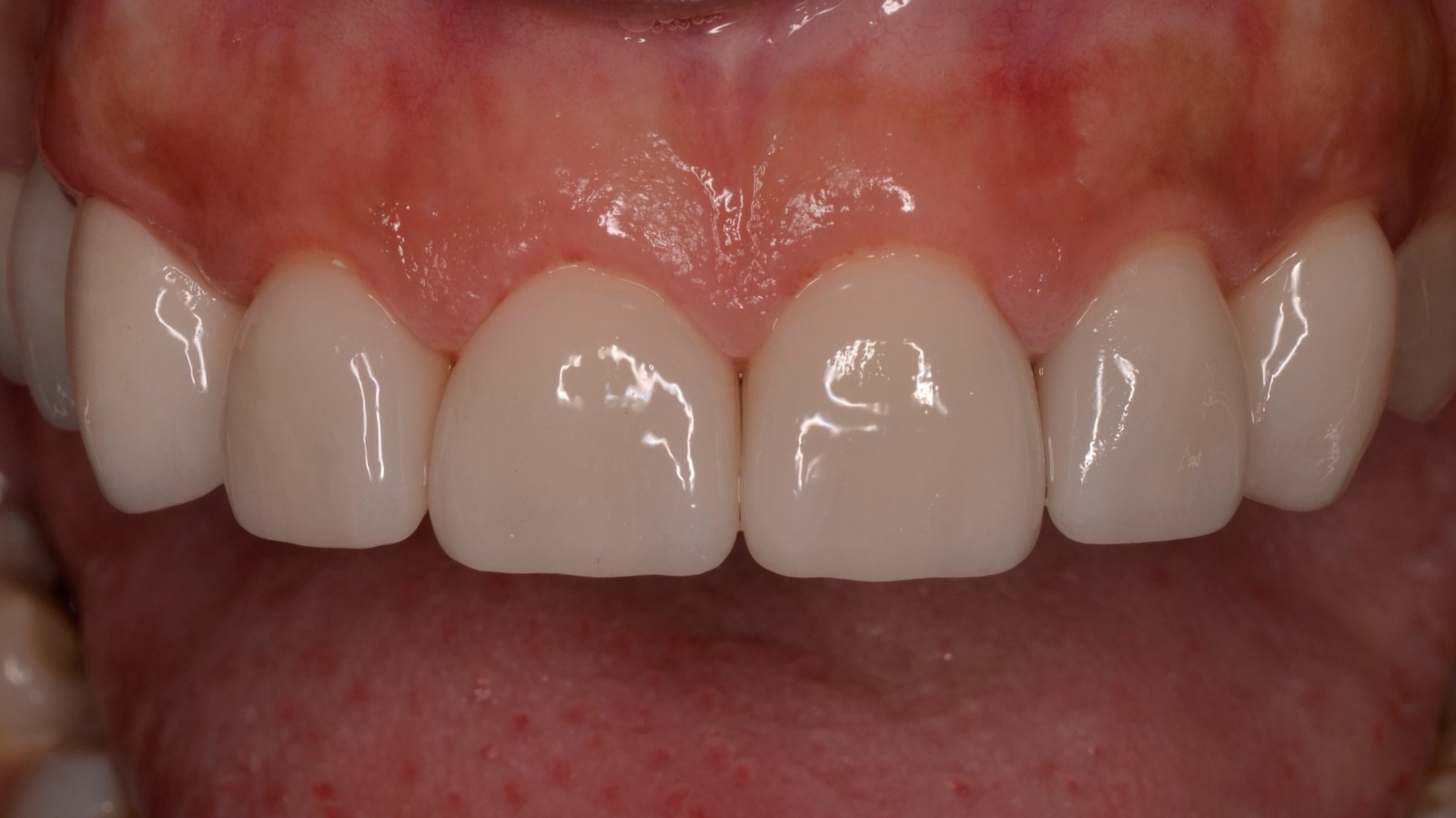
zirkon vrstvený
Zirkon vrstvený

Vestibulárně fazetovaný zirkon 11
Zirkon vestibulárně fazetovaný, zub 11

e.max
sólo korunky ve frontálním úseku

zirkon vrstvený
zub 21 na zirkonovém abutmentu

Fazety + korunky Zirkon BL1
Zirkonové fazety + korunky BL1

MK
Metalokeramika

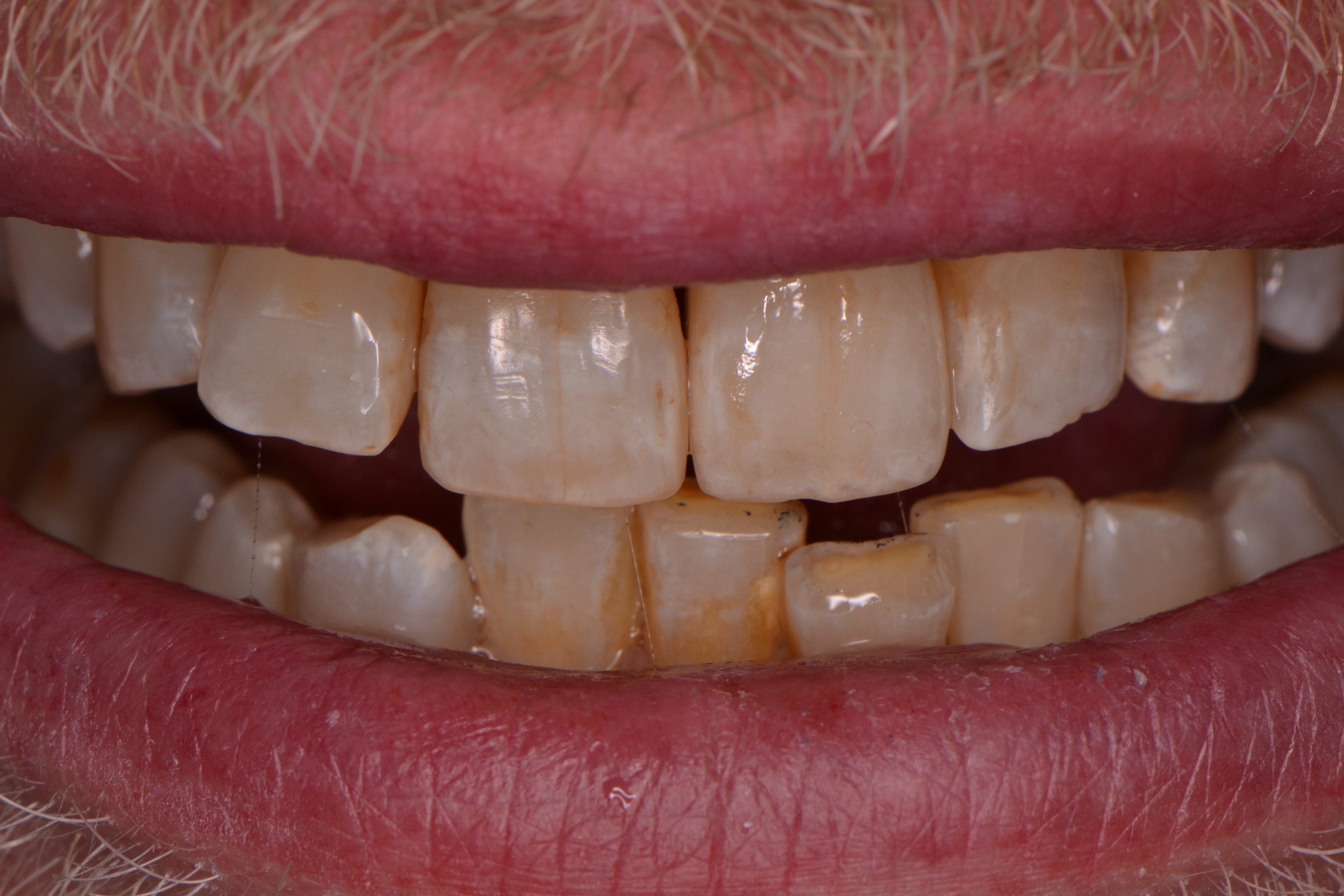
Branemark
Provizorní All-on-4 řešení

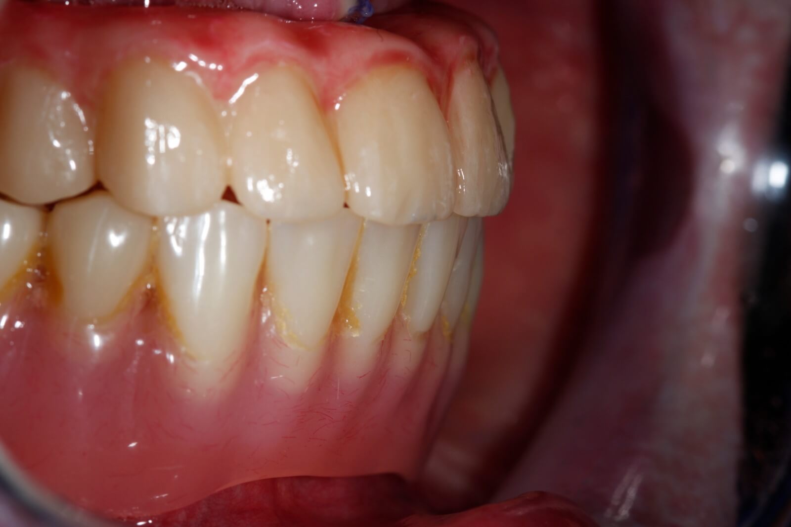
Zirkon korunky a můstky
Zirkonové korunky a můstky anatomické

Anatomický zirkon
Popis práce

Zirkon vrstvený

Zirkon vrstvený
Zirkon vrstvený

Brånemark
S laboratoří Eurozahn spolupracuji asi rok a půl. Během této doby jsem si mohl ověřit, že se na jejich tým mohu spolehnout, a i když vždy nejde vše podle plánu, díky dobré komunikaci se vždy vše vyřeší včas. Bonusem jsou dostupnější ceny výrobků pro naše pacienty.
S pracemi vaší laboratoře jsme spokojeni. Práce bývají přesné a esteticky pěkné. Spolupráce s dovozem a odvozem prací je skvělá, s řidičem je výborná komunikace, vždy vyjde vstříc našim potřebám. Stejně tak je dobrá domluva s laborantkami, se kterými občas potřebujeme doladit detaily práce.
Se zubní laboratoří Eurozahn jsem velmi spokojen, a to nejen díky perfektní přesnosti prací, ale i díky rychlé komunikaci, která je v naší spolupráci klíčová.
Skvělá spolupráce, výborná kvalita, přesná dodací lhůta, zároveň rozvoz zadarmo a velice příjemné ceny na protetické práce. Laborka pracuje s klasickými a digitálními otisky, což je velká výhoda. Můžu jen pochválit a doporučit.
Laboratoř bude uzavřena
Práce přijaté po výše uvedených termínech budou odeslány v lednu 2026 dle standardních dodacích lhůt.
"Přejeme Vám klidný konec roku a budeme se těšit na spolupráci i v novém roce."